√ダウンロード 4周胎囊 189840-4周胎囊
孕期胚胎大小对照表 快看胎宝宝发育正常吗
1胎囊的大小:怀孕6周时胎囊直径约2厘米,孕10周时约5厘米,孕15个月时直径约2厘米,25个月时约5厘米为正常。 2胚囊:(长)23*(宽)17*(厚)16 mm 是女孩。或35*34*28mm也是女孩。或18*16*8mm也是女孩。33*18mm是男孩,44*mm是男孩。 350D的BC数据:胎囊29*19 mm是男孩。32*mm是女孩。孕囊35*27mm是女孩。 48W的BC 懷孕胎囊的轉變 1、4周, 胎寶寶僅有2mm。 精卵結合剛進行胚胎著床, 羊膜腔才產生, 容積不大。 超聲波還看不清楚懷孕征兆。 2、5周, 胎寶寶長到4mm, 進入了試管胚胎期, 羊膜腔擴張, 初始心腦血管病出現, 可有心搏。 B超可看到小孕囊, 孕囊約占宮腔內不上1/4, 或由此可見胎
4周胎囊
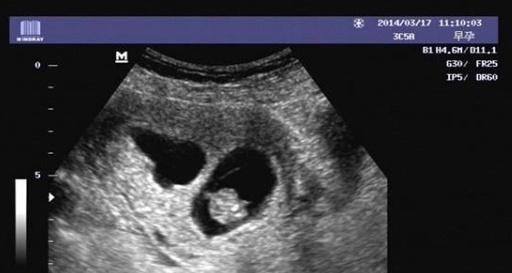
4周胎囊-孕囊 4周 02cm 5周 04cm B超孕囊占宫腔不到1/4 6周 085cm B超胎囊清晰可见 7周 133cm 胎囊约占宫腔的l/3 8周 166cm B超可见胎囊约占官腔1/2 9周 215cm B超可见胎囊几乎占满宫腔 10周 2cm 超可见胎囊开始消失 11周 362cm B超可见胎囊完全消失 一般孕周和孕囊大小不用孕妈妈本人进行纠结比较 胎芽一般是在怀孕三十多天以后开始慢慢形成的,通常妊娠三周至妊娠第一个月称为胎芽期,一般孕6—7周B超可见胎芽,大小在051cm左右,胎芽和孕囊大小的对照关系如下: 怀孕周数 孕囊大小 胎芽 4周 孕囊03cm 孕囊体积很小,超声还看不清妊娠迹象 5周
孕囊大小对照表一表读懂孕囊形状的玄机 辣妈贝贝
怀孕4周左右,B超看不到胎囊 患者信息:女 30岁 广东 珠海 病情描述 (发病时间、主要症状等): 怀孕4周,B超看不到胎囊,医生说有可能宫外孕,但是下腹一直没疼痛,也没出血! 月经最后一天是1254但是只有1264那一天同房一次就怀孕了,这样应该是怎么 9周 2.15厘米 此时胎囊几乎占满宫腔,胎儿各部表现更清晰,胎盘开始出现。 10周 2.厘米 这个时段胎囊开始消失,胎儿各器官均已形成,胎儿活跃在羊水中。 11周 3.62厘米 胎儿各器官进一步发育,胎盘发育,b超可见胎囊完全消失,胎盘清晰可见。 12周 458厘米 胎儿各脏器趋 6周 4,hcg,只有少许胎芽,没有胎心 查看 回复 29 t 发表于 2211 1645 来自疯狂造人 举报 29 楼主 直达 楼 谢赞,祝你好孕快快来 已邀请用户 : (此提示只有您可以看到,其他用户无法查看)
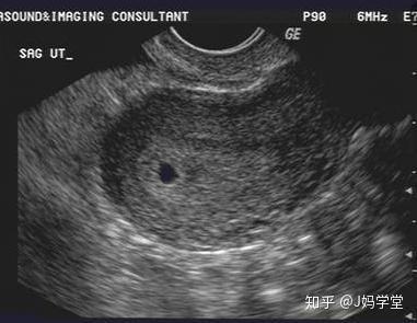
怀孕4周时,受精卵才着床成功; 怀孕5周时,受精卵着床成功后一边快速进行细胞分裂,一边向四周扩展,而这些细胞将会形成羊膜和血管包裹住 卵黄囊,胎儿就是从卵黄囊开始发育的。 在卵黄囊的外面是孕囊,孕囊是原始的胎盘组织。 所以, 一般在怀孕56周,可以做B超看到孕囊和卵黄囊,月经规律的女性,最早在怀孕35天时可以通过阴超看到孕囊; 怀孕67周时,可以通过B超看到胎3 怀孕5周孕囊大小多少是正常的 1、4周:胎儿只有02厘米。 受精卵刚完成着床,羊膜腔才形成,体积很小。 超声还看不清妊娠迹象。 2、5周:胎儿长到04厘米,进入了胚胎期,羊膜腔扩大,原始心血管出现,可有搏动。 B超可看见小胎囊,胎囊约占宫腔不到1胎芽特征 怀孕的第一个月为胎芽期,新生命在此期的成长速度是其一生中最快的。 妊娠第二周末精卵结合,受精后约4天,分裂成细胞团的精卵沿着 输卵管 到达子宫。 第三周,细胞团脱去外膜,为着床作准备。 第四周,胚泡已牢固地植入子宫里。 在这个
4周胎囊のギャラリー
各画像をクリックすると、ダウンロードまたは拡大表示できます
孕5周4天孕囊大小 西瓜视频搜索 | ![]() 孕5周4天孕囊大小 西瓜视频搜索 | 孕5周4天孕囊大小 西瓜视频搜索 |
![]() 孕5周4天孕囊大小 西瓜视频搜索 | 孕5周4天孕囊大小 西瓜视频搜索 | 孕5周4天孕囊大小 西瓜视频搜索 |
孕5周4天孕囊大小 西瓜视频搜索 | 孕5周4天孕囊大小 西瓜视频搜索 | 孕5周4天孕囊大小 西瓜视频搜索 |
孕5周4天孕囊大小 西瓜视频搜索 | 孕5周4天孕囊大小 西瓜视频搜索 | 孕5周4天孕囊大小 西瓜视频搜索 |
![]() 孕5周4天孕囊大小 西瓜视频搜索 | ![]() 孕5周4天孕囊大小 西瓜视频搜索 | ![]() 孕5周4天孕囊大小 西瓜视频搜索 |
![]() 孕5周4天孕囊大小 西瓜视频搜索 | 孕5周4天孕囊大小 西瓜视频搜索 | 孕5周4天孕囊大小 西瓜视频搜索 |
孕5周4天孕囊大小 西瓜视频搜索 | 孕5周4天孕囊大小 西瓜视频搜索 | 孕5周4天孕囊大小 西瓜视频搜索 |
孕5周4天孕囊大小 西瓜视频搜索 | 孕5周4天孕囊大小 西瓜视频搜索 | 孕5周4天孕囊大小 西瓜视频搜索 |
![]() 孕5周4天孕囊大小 西瓜视频搜索 | 孕5周4天孕囊大小 西瓜视频搜索 | ![]() 孕5周4天孕囊大小 西瓜视频搜索 |
孕5周4天孕囊大小 西瓜视频搜索 | 孕5周4天孕囊大小 西瓜视频搜索 | 孕5周4天孕囊大小 西瓜视频搜索 |
![]() 孕5周4天孕囊大小 西瓜视频搜索 | 孕5周4天孕囊大小 西瓜视频搜索 | 孕5周4天孕囊大小 西瓜视频搜索 |
![]() 孕5周4天孕囊大小 西瓜视频搜索 | 孕5周4天孕囊大小 西瓜视频搜索 | 孕5周4天孕囊大小 西瓜视频搜索 |
![]() 孕5周4天孕囊大小 西瓜视频搜索 | 孕5周4天孕囊大小 西瓜视频搜索 | 孕5周4天孕囊大小 西瓜视频搜索 |
![]() 孕5周4天孕囊大小 西瓜视频搜索 | 孕5周4天孕囊大小 西瓜视频搜索 | 孕5周4天孕囊大小 西瓜视频搜索 |
![]() 孕5周4天孕囊大小 西瓜视频搜索 | ![]() 孕5周4天孕囊大小 西瓜视频搜索 | 孕5周4天孕囊大小 西瓜视频搜索 |
孕5周4天孕囊大小 西瓜视频搜索 | 孕5周4天孕囊大小 西瓜视频搜索 | ![]() 孕5周4天孕囊大小 西瓜视频搜索 |
孕5周4天孕囊大小 西瓜视频搜索 | ![]() 孕5周4天孕囊大小 西瓜视频搜索 | 孕5周4天孕囊大小 西瓜视频搜索 |
![]() 孕5周4天孕囊大小 西瓜视频搜索 | 孕5周4天孕囊大小 西瓜视频搜索 | 孕5周4天孕囊大小 西瓜视频搜索 |
![]() 孕5周4天孕囊大小 西瓜视频搜索 | 孕5周4天孕囊大小 西瓜视频搜索 | ![]() 孕5周4天孕囊大小 西瓜视频搜索 |
![]() 孕5周4天孕囊大小 西瓜视频搜索 | ![]() 孕5周4天孕囊大小 西瓜视频搜索 | 孕5周4天孕囊大小 西瓜视频搜索 |
孕5周4天孕囊大小 西瓜视频搜索 | ![]() 孕5周4天孕囊大小 西瓜视频搜索 | 孕5周4天孕囊大小 西瓜视频搜索 |
孕5周4天孕囊大小 西瓜视频搜索 | ![]() 孕5周4天孕囊大小 西瓜视频搜索 | ![]() 孕5周4天孕囊大小 西瓜视频搜索 |
![]() 孕5周4天孕囊大小 西瓜视频搜索 | ![]() 孕5周4天孕囊大小 西瓜视频搜索 | 孕5周4天孕囊大小 西瓜视频搜索 |
![]() 孕5周4天孕囊大小 西瓜视频搜索 | ![]() 孕5周4天孕囊大小 西瓜视频搜索 | ![]() 孕5周4天孕囊大小 西瓜视频搜索 |
孕5周4天孕囊大小 西瓜视频搜索 | 孕5周4天孕囊大小 西瓜视频搜索 | 孕5周4天孕囊大小 西瓜视频搜索 |
![]() 孕5周4天孕囊大小 西瓜视频搜索 | 孕5周4天孕囊大小 西瓜视频搜索 | 孕5周4天孕囊大小 西瓜视频搜索 |
孕5周4天孕囊大小 西瓜视频搜索 | ![]() 孕5周4天孕囊大小 西瓜视频搜索 | ![]() 孕5周4天孕囊大小 西瓜视频搜索 |
孕5周4天孕囊大小 西瓜视频搜索 | ![]() 孕5周4天孕囊大小 西瓜视频搜索 | 孕5周4天孕囊大小 西瓜视频搜索 |
孕5周4天孕囊大小 西瓜视频搜索 | 孕5周4天孕囊大小 西瓜视频搜索 | 孕5周4天孕囊大小 西瓜视频搜索 |
孕5周4天孕囊大小 西瓜视频搜索 | 孕5周4天孕囊大小 西瓜视频搜索 | ![]() 孕5周4天孕囊大小 西瓜视频搜索 |
![]() 孕5周4天孕囊大小 西瓜视频搜索 | 孕5周4天孕囊大小 西瓜视频搜索 | 孕5周4天孕囊大小 西瓜视频搜索 |
![]() 孕5周4天孕囊大小 西瓜视频搜索 | 孕5周4天孕囊大小 西瓜视频搜索 | ![]() 孕5周4天孕囊大小 西瓜视频搜索 |
孕5周4天孕囊大小 西瓜视频搜索 | 孕5周4天孕囊大小 西瓜视频搜索 | ![]() 孕5周4天孕囊大小 西瓜视频搜索 |
![]() 孕5周4天孕囊大小 西瓜视频搜索 | 孕5周4天孕囊大小 西瓜视频搜索 | 孕5周4天孕囊大小 西瓜视频搜索 |
孕5周4天孕囊大小 西瓜视频搜索 | 孕5周4天孕囊大小 西瓜视频搜索 |
怀孕4周胎囊标准值多大 女 32岁 4人回复 健康咨询描述: 怀孕4周想知道胎囊多大629同房712怀孕728想知道胎囊标准应该多大 我也要咨询 发布人: askd 投诉 其他类似问题 白带异常,有时异味很重,有时很淡,以前是;1、7W 1D的BC数据: 胎囊29*19 生的是男孩 2、9W 4D的BC数据: 宫内见466*302mm孕囊双胞胎都是女孩 3、60天的BC数据: 孕囊大小是36*16MM 生下的是帅哥 4、5W 6D。孕囊:25mm*11mm 男孩 5、数据:胚囊:23x17x16 生下的是小美女 6、46天BC数据:孕囊:*17*17 女孩 7、7w 1D的BC结果:32*mm妊娠囊女孩 8、8周时是16×1
Incoming Term: 4周胎囊大小, 4周胎囊,





































コメント
コメントを投稿